ラミネートベニヤ
ラミネートべニアとは

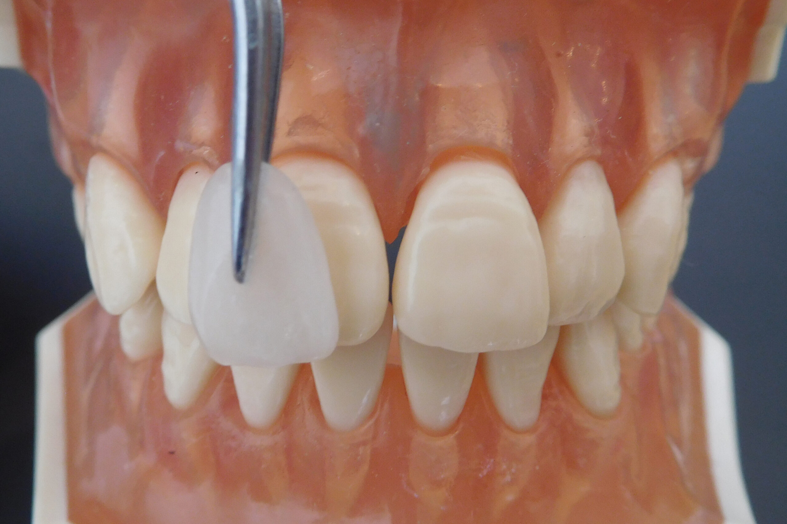
歯が欠けた、左右の歯の大きさが違って格好が悪い、歯と歯の間の隙間が気になる、歯並びが悪い、歯の色が悪いなど、前歯の見た目などが気になっている方のお悩みを解消して、さらに歯をほとんど削らないで綺麗な歯を手に入れる治療法の一つがラミネートベニアです。ラミネートべニアとは、歯の表面に薄いセラミックスをつけ爪のように張り付ける治療です。通常のラミネートベニアは歯の表面を1mmほど削りますが、歯の表面を0.5mm程度と削る量を最小に抑えたコンタクトレンズ・ラミネートベニアもあります。
極薄のセラミックスは、新聞の上に置くと透き通って新聞の文字が読めるほど光の透過性が優れているため、ラミネートべニアの下にあるご自分の歯の色と透明感を反映して、自然な美しい歯に仕上がります。極薄ですが、表面はセラミックのため耐久性が高く、変色や光沢の消失などの経年的劣化を起こさないので、長期間にわたって美しい状態を維持することができます。
歯を削る量が少なくて済むプラスチックと、機能性が優れている補綴治療、ラミネートベニアはこの2つの治療法の良いところどりをしている治療法です。
ここでご注意いただきたいのは、ラミネートベニアは歯の神経が残っている歯が対象だということです。神経がなくなると歯の強度が落ちてしまうため、歯を包み補強する被せものが適しています。
こんな方におすすめです
- 歯が欠けた
- 左右の歯の大きさが違っていて格好が悪い
- 歯と歯の間の隙間(すきっ歯)が気になる
- 歯並びが悪い
- 歯の色が悪い
上記のような前歯のお悩みを、歯をほとんど削らずに解消することができるのでおすすめです。
すきっ歯を治したい
歯と歯の間の隙間は無い方が自然で綺麗に見えます。また隙間から息が漏れ、発音への影響だけでなく、食べたものが詰まりやすいため虫歯や歯肉炎、歯周病にもかかりやすくなります。 しかし隣同士の歯がピッタリ合うようにラミネートベニアでその隙間を埋めることで、見た目の改善や違和感、不快感をなくし、病気の予防をすることができます。
隙間がある程度大きくなると治療後歯が大きく見えたり、磨きにくくなることもあるため、事前に治療後にどうなるのかをご相談して行うようにしています。場合によっては仮の詰め物などで実際にお互いに確認することもあります。
出っ歯を治したい
前歯の出っ張りはその歯が大きく見えるばかりか、出っ張った歯で唇を持ち上げるために、口元が出ている印象を与えてしまう場合があります。 出っ張り程度が軽度の場合はラミネートベニアで多少奥に引っ込めることができます。
しかし出っ張った分だけ余分に通常より歯を削る必要があります。また削れる量の限界やかみ合わせの状態によっては奥に引っ込められる量に限りがあります。大きな出っ張りを改善されたい場合は、歯科矯正や被せ物が適していると考えています。
歯並びは悪くないが、歯の色を治したい
黒や茶色のような濃い色に変色した歯にホワイトニングを行っても歯が希望されるほど白くならないケースがあります。そういう歯でもファンデーションのように下地の色を遮断する層を通常のラミネートベニアの下に追加すると、元の色を隠すことができます。しかし元の歯の色の濃さに比例して色を遮断する層が厚くなり、厚さ分だけ透明感が失われることがあります。ただしこれは通常のラミネートベニアと比較してのことですので、変色を隠して表面のきれいなセラミックで歯を美しく蘇らせることができます。
ホワイトニング、ブリーチング、ラミネートベニア、被せ物(差し歯)など歯の変色の治療法は様々なものがあります。歯の状態によってどの治療法が最もご希望に沿えるのか、メリットとデメリット、お口の状況に適しているのかを事前にお話ししてから行うようにしています。
歯が欠けてしまった
ぶつけるなどして歯が欠けてしまった場合、内部の神経が感染を起こしておらず破片がきれいな状態であればそのまま接着することもできますが、接着した境目がどうしても見えてしまうことと、取れやすいデメリットがあります。また破片が見つからないなどで使用できない場合、欠けた部分をコンポジットレジンやハイブリッドセラミックス(プラスチックの一種)で欠けた分だけ治すこともできます。多少の審美的問題を許容でき、歯を削らないことを第一に考えるのであればそれでもいいと思います。
しかし接着した境目の見た目の美しさ、欠けた部分の詰め物などが取れる不安を優先されたい場合にはラミネートベニアが適しています。歯の表面全体を継ぎ目のない薄いセラミックで覆うため、審美的で接着強度の向上により取れる不安をかなり軽減できます。
ラミネートべニア以外の選択肢
セラミック以外には歯と同系色の白い材料であるプラスチック(ダイレクトボンディング)があります。歯を削る量を最小限に抑えることができる反面、耐久性がなく、色調の変化、光沢感の消失、摩耗による形の変化などが起こってきます。再治療は可能ですが、少量であってもその都度歯を削らなくてはならないため、長期的にみると歯への障害(傷)が大きくなると当院では考えています。
この他には歯全体に人工歯をすっぽり被せる方法(被せ物)があります。被せ物の材質にセラミックを使えば、長期間綺麗を維持でき外れにくい利点がありますが、歯全体を削る必要があります。すでに被せ物が入っているケースには適していますが、ご自分の歯質が十分残っている場合は削ることと利点のどちらを優先するかを考える必要があります。
ラミネートべニアのメリット
先にお話ししたように色や形などを治す治療法は様々なものがありますが、歯を削って治す方法の中では歯を削る量がとても少なく、ご自身の歯を痛めにくいことが最大のメリットです。またプラスチックなどに比べると、色も自然で、透明感があり、変色や強度の低下などの経年劣化を起こしにくいこともメリットのひとつです。要約すれば、歯を削る量が最小限で抑えられて、自然な美しさが長続きすることです。
ラミネートべニアのデメリット
第一は歯の表面に貼り付けるセラミックが1.0mm前後と極めて薄く、かぶせ物に比べると強度が落ちるため、稀に壊れたり取れたりすることがあります。かみ合わせ等を慎重に調整しているためか当院ではまだトラブルの経験がありません。
第二は歯を削らない治療法に比べると歯を削る量がわずかとはいえ削る必要があることです。
第三は他の歯科治療にも言えることですが、歯を極わずかとは言え削るため一時的に知覚過敏が生じることがあります。
ラミネートべニアが適応できないケース
ラミネートべニアが適応できないケースがございます。歯に極薄のセラミックスを貼り付けるので、大きな虫歯がある場合など歯の表面に接着しにくい場合は使えません。また、ラミネートベニアは歯の神経が残っている歯が対象になります。神経がなくなると歯の強度が落ちてしまうため、ラミネートべニアよりも被せ物が適しています。他にも、歯ぎしりや噛みしめの癖のある方では割れるリスクが高くなるのでおすすめできません。
ラミネートべニア治療の流れ
基本的には麻酔を行い、歯の表面を薄く削って仮歯をつけます。後日型取りをして、その後ラミネートベニアを接着して終了になります。ご予約状況や歯の状態にもよりますが、3週間程度とお考え下さい。かみ合わせや見た目などを、日常生活で実際にご確認いただきながら仮歯の状態で調整していく場合は、その分だけ期間が延びます。
費用は料金表をご覧ください。
