歯でお困りの方へ
歯が痛い原因と治療法
歯が痛む時は本当につらいものです。歯に分布する三叉神経は非常に鋭敏で痛みを感じやすいからです。多くの歯科疾患は自然に治ることがなく、悪化と一時停止を繰り返して段々重症化していく傾向にあります。痛み止めで目先の痛みをごまかし続けられなくなりもっと激烈になって慌てて来院される方が散見されます。予兆はなかったのでしょうか?思い当たることがあるなら、現状でもまだ予兆段階なのかも知れませんから次の問題が出る前に今すぐご来院ください。
歯が痛い原因は虫歯だけとは限りません。歯周病や歯ぎしり・歯の食いしばりが原因になっていることもあります。また、虫歯ではないのに歯が痛む方がセカンドオピニオンとしてご相談にいらっしゃいますが、その方々の多くがTCHという慢性的に歯に力をかけ続けている状態が原因でした。これはご自身でも気が付かないほど弱い力なので、治療後の変化に驚かれます。「歯のことで困っているけど、何が原因かよく分からない」という方でも、ぜひお気軽にお問い合わせください。
虫歯治療

お口の中に住み着いている虫歯原因菌の出す酸によって歯が溶かされたのが虫歯です。その原因菌の餌となるのが食べかすですので、食後に丁寧に歯を磨くことが大切です。
しかし一旦虫歯になってしまうと自然に治ることはありません。それ以上の進行を止めるために感染した歯を虫歯菌もろとも削り取る治療が必要になります。
削った歯は二度と戻ってきませんので、できるだけ虫歯が小さい早期に治療をされることをお勧めいたします。ただ小さい虫歯は「しみる」「痛い」などの症状がないため気づくのが遅れがちです。定期的に歯医者さんで早期に発見してもらう定期検診が非常に有効です。
根管治療

虫歯が歯の奥深くまで進むと、歯の根っこの治療が必要になります。この段階まで病気が進行するとかなり歯のダメージは大きくなります。虫歯段階での治療に比べて治療しても歯の強度が劣り、歯の寿命は残念ながら統計上5~10年短くなります。ただし放置してただ歯を失っていくより治療をお受けになることをお勧めします。治療することで歯の噛むことなどの機能回復や審美的回復をして歯の延命が可能になります。稀に、「痛かった歯が、急に痛くなくなった」「虫歯が自然に治った」と勘違いされる方がいらっしゃいます。残念ながら、虫歯は自然に治癒することはありません。神経が死んでしまうと、痛みがいったん止むのです。市販の痛み止めで歯科医院の受診を先延ばしにせず、早めに治療を開始しましょう。
歯周病

比較的簡単な治療やご自宅での管理で治る初期から、治療が及ばず歯が自然に抜けてしまう末期まで様々な歯周病があります。またご自身の免疫や日々の生活とも関連がある生活習慣病であるため、患者さんの協力なくしては治すことができない病気でもあります。
歯周病の状態、患者さんのお口の中に合わせた治療法を提案させていただきたいと思います。
患者様ご自身の生活習慣の改善や、日々のメインテナンスを行っていただくことで将来的に歯を失わなくて済みます。歯周病のことをよく理解していただき、ケアの重要性について知っていただきたいと思います。
小児歯科

お子さんの歯は大人の歯と違って、もともと虫歯になりやすいという特徴があります。また、年齢的にしっかりと歯のケアが行き届かないということもあり、虫歯のリスクはさらに高くなります。年齢ごとにどんなケアが必要なのか、お父さんとお母さん、ご家族様で協力してお子さんの歯を守ってあげてほしいと思います。
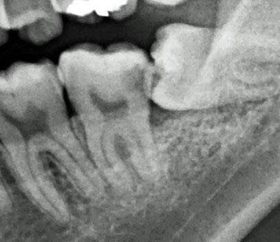
親知らずの抜歯

抜歯と聞くと、痛そうとか怖いというような不安を抱かれるかと思います。親知らずは必ずしも抜かなくてはいけないというわけではありませんが、抜いた方が良い状況もございます。では、どのような状態だと抜歯を検討した方が良いのか?患者様によって様々ですが、一般的なケースをご紹介します。
